Examining southern hearts

Our specialist cardiologists provide expert reporting of cardiac CT and cardiac MRI for a comprehensive assessment of cardiovascular health.

Comprehensive cardiovascular imaging assessment

Southern Cardiac Imaging works in partnership with Pacific Radiology to deliver advanced cardiac imaging services to Otago and Southland. Patients can be referred for coronary artery disease risk assessment, or to assess potential symptoms from coronary artery or other heart diseases. Your cardiologist will refer you for a cardiac CT or cardiac MRI if advanced cardiac imaging is required.

Advanced imaging technology

Pacific Radiology uses state-of-the-art CT and MRI scanners to produce high quality cardiac images. Our cardiologists then use post-processing software for an in-depth assessment of those images for our patients. Our cardiologists combine the imaging and referral information for a comprehensive report which will go to your own GP or specialist.

Our services

CT calcium score

Advanced risk assessment

Coronary artery calcium (CAC) scoring is a CT scan used to image calcium in and around the heart. When cholesterol is deposited in the heart arteries as plaque, calcium can also be deposited next to it. Coronary artery calcium measures calcium to indirectly assess the amount of plaque in the heart. This form of testing more accurately assesses the risk of coronary artery disease in people without symptoms. CAC scoring does not require any X-ray contrast or any special preparation beforehand.

Cardiac CT

Direct visualisation of coronary cholesterol

CT coronary angiography (CTCA) is used to directly visualise the coronary arteries. A CTCA starts with a coronary artery calcium score, then X-ray contrast is used to examine the inside of the arteries. This will show cholesterol plaque with and without calcium, and any narrowing or blockages. When used in combination with stress testing, CTCA provides a proven benefit to patients by identifying coronary plaque that needs treatment. Most people require medication such as bisoprolol to lower their heart rate prior to CTCA. Everyone is given a medicine called glyceryl trinitrate, sprayed under the tongue immediately prior to the scan, to open the arteries as much as possible. The CT radiographers will go through all of this before and during the scan.

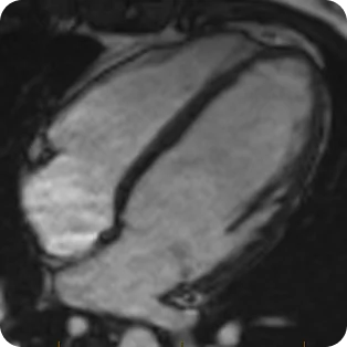
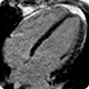
Cardiac MRI

Looking inside the heart muscle

Cardiac MRI is a very detailed scan which gives us the most accurate assessment of heart function. It allows us to look for inflammation and scarring inside and around the heart muscle and tissue. We use cardiac MRI to identify reasons why the heart muscle might not be pumping as well as it should, to look for heart muscle diseases, or to look for conditions such as myocarditis or pericarditis where there is inflammation in the heart. With cardiac MRI, we can also assess the aorta for narrowing or aneurysms or to quantify how much a heart valve is leaking. No special preparation is needed before cardiac MRI – you should take all your medicines as normal unless we advise differently. The Pacific Radiology team will go through a questionnaire with you that checks if there is any metal in your body that would not be safe in an MRI scanner.

Committed to Excellence in Cardiac Care

We work as a team with referring physicians to deliver excellence in cardiovascular imaging.

Our Cardiologists

Dr Sean Coffey

MBBS, PhD, FRACP, FCSANZ

Sean Coffey is a cardiologist with subspeciality training in non-invasive assessment of cardiovascular disease. He also works at Southern Heart and Dunedin Hospital and is a Senior Lecturer at the University of Otago, where he researches heart valve disease, coronary artery disease, and heart failure. He has been verified as having the highest level of training in cardiac CT by the Society of Cardiovascular Computed Tomography and the highest level of training in cardiac MRI by the Society of Cardiovascular Magnetic Resonance.

Dr Anouska Moynagh

MB, BCh, BAO, FRACP, FCSANZ

Anouska is a cardiologist with subspecialty training in interventional cardiology, structural heart disease and advanced cardiac imaging. She also works at Southern Heart and Dunedin Hospital. Anouska trained in Cardiac MRI at Institut Cardiovasculaire Paris Sud and in cardiac CT through Imperial College London.

Get in Touch

Coronary artery calcium scoring can be requested directly for risk assessment by a cardiologist, your specialist General Practitioner (GP), or other primary care health provider. For people with potential cardiac symptoms, we generally recommend a referral from your GP or primary care provider for a cardiologist consultation. A cardiologist will perform initial testing and will decide if advanced cardiac imaging is required, and what form this should take. Afterwards, a cardiologist can integrate the other aspects of the assessment with the findings from cardiac CT or MRI, and use all of these to develop a management plan.